¿ Que son las Imágenes Diagnosticas?
Las Imágenes diagnósticas son el conjunto de estudios, que
mediante la tecnología, obtienen y procesan imágenes
del cuerpo humano. La principal finalidad de los estudios de imagen en
medicina es proporcionarle al médico la información
necesaria para que haga el diagnóstico de la enfermedad del
paciente y así valorar su respuesta al tratamiento.
Los métodos y las técnicas de obtención de imagenes diagnosticas son muy amplios, y dentro de los más utilizados se encuentran los Rayos
X, el Ultrasonido, la Tomografía Computarizada (TC), la Resonancia Magnética (RM) y la Medicina Nuclear (MN)
RAYOS X
RAYOS X
Los Rayos X son un tipo de radiación electromagnética
ionizante que debido a su pequeña longitud de onda (1
ó 2 Amperios), tienen la capacidad de interaccionar con la
materia. Cuanto menor sea la longitud de onda de los
rayos, mayor serán su energía y poder de penetración, por lo tanto la utilidad de las radiografías para el diagnóstico se debe a la capacidad de penetración de los rayos x, ya que de ello depende una buena calidad de imagen diagnostica.
Los Rayos X son disparados del tubo de rayos hacia una placa y se atenúan a medida que pasan a través del cuerpo del paciente.
Actualmente existen múltiples aplicaciones e indicaciones de los Rayos X como ayuda diagnóstica en el campo médico. Se destaca su uso en el estudio de los sistemas esquelético, respiratorio, gastrointestinal, urinario y cardiovascular, etc. Las contraindicaciones se centran en el riesgo teratogénico y carcinogénico, por lo que se evita realizar este estudio en mujeres embarazadas (sobretodo primer trimestre).
![]() |
| Rx de Torax - Proyeccion Frontal |
![]() |
| Rx de Rodilla - Proyeccion. Frontal |
![]() |
| Urografia |
Los componentes fundamentales que conforman el equipo radiológico convencional son: el tubo de Rayos X, el generador de alta tensión, el panel de control y el bucki. Sin embargo, dependiendo de la aplicación específica se utilizan otros elementos adicionales.
EL ULTRASONIDO
Piezoelectricidad significa “electricidad impulsada por presión”; elementos como hueso, ADN, tendones, la caña de azúcar y cristales de Quarzo, son ejemplos de materiales piezoeléctricos naturales que producen energía a presión
Existen tres modos básicos de presentar las imágenes ecográficas:
- El modo A ó de amplitud (se empleó inicialmente para distinguir estructuras quísticas y sólidas)
- El modo M (se emplea para evaluar las estructuras en movimiento como el corazón)
- El modo B (Ésta es la modalidad empleada en todos los equipos de ecografía en tiempo real y se trata de una imagen bidimensional estática).
El ultrasonido es utilizado en: oftalmología, ginecología y obstetricia, así como, sistemas cardiovascular y genitourinario, incluyendo glándulas mamarias, área abdominal, entre otros.
![]() |
| Ecogragfia Oftalmica |
![]() |
| Ecografia abdominal |
![]() |
| Ecografia Cardiovascular |
![]() |
| Ecografia Ginecologica |
![]() |
| Ecografia Obstetrica |
La aplicación más importante de ultrasonido es en Obstetricia, ya que se puede visualizar
con toda claridad los movimientos del feto, además permite el diagnóstico oportuno
de patologías que implican alteraciones superficiales,tales como
labio leporino, síndrome de Down, micronatia, patologías detórax o de abdomen,
etc.
El ultrasonido como ayuda diagnóstica es de uso frecuente y confiable, ademas es el segundo método más solicitado después de los Rayos X, debido a que tiene muchas ventajas sobre la radiografía tales como: ausencia de radiación, excelente visualización de tejidos blandos y diferenciación entre sólidos y líquidos, ademas las ecografías pueden repetirse sin peligro alguno.
Los elementos que forman parte del equipo ecográfico son el transductor o la sonda, el botón de ganancia y los botones de curva ganancia según la profundidad.
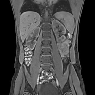
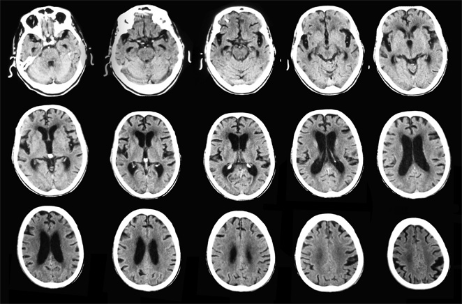
La tomografía computarizada es una prueba de diagnóstico por imágenes que utiliza una combinación de radiografías y tecnología computarizada para obtener imágenes de cortes transversales “rebanadas” del cuerpo, tanto horizontales como verticales. La TC muestra imágenes detalladas de los órganos internos, (huesos, tejidos blandos y vasos sanguíneos).
El uso de esta técnica de imagen presenta múltiples ventajas:
- Proporciona imágenes en tiempo real y se convierte en una herramienta útil para guiar procedimientos mínimamente invasivos.
- La exploración por TC ofrece información más detallada sobre lesiones, tumores y otras enfermedades que las radiografías convencionales.
- Proporciona imágenes en tiempo real y se convierte en una herramienta útil para guiar procedimientos mínimamente invasivos.
- Permite identificar hemorragias internas, tumores, lesiones u otros daños.

Debido a las
facilidades en el diagnóstico de imágenes generalmente se realizan exámenes de: Cabeza, Cuello, Columna, Tórax, Pelvis, Abdomen, estructuras Oseas, miembros superiores e inferiores.
·
![]() |
| Tomografía de Cabeza - Corte Axial |
![]() |
| Tomografía de Tórax - Corte Axial |
La medicina nuclear constituye una subespecialidad de la Radiología que utiliza cantidades muy pequeñas de material radiactivo para diagnosticar y determinar la gravedad, o para tratar enfermedades y otras anomalías dentro del cuerpo. A diferencia de las imágenes producidas por equipos con otras tecnologías, no son imágenes “anatómicas”, son imágenes “funcionales.
La obtencion de imagenes se basa en la aplicación de un material radiactivo en el paciente para luego realizar el seguimiento de su distribución en el organismo mediante un sistema de detección de la radiación emitida por la sustancia administrada, que permite crear una imagen del órgano donde se ha fijado.
Debido a que la medicina nuclear puede detectar actividades moleculares dentro del cuerpo, se trata de un diagnóstico funcional y no anatómico, que ofrece la posibilidad de identificar enfermedades en sus etapas tempranas, como así también las respuestas inmediatas de los pacientes a las intervenciones terapéuticas.
Aplicaciones Diagnosticas: Neurología, Neumología, Endocrinología, Cardiología (corazón), Oncología, Urología,Traumatología,Gastroenterologia, Cánceres etc.
![]() |
| Cardialgia |
![]() |
| Neurología |
![]() |
| Neumologia
Ventajas:
- La medicina nuclear ofrece la posibilidad de identificar enfermedades en
sus estadios tempranos, en general antes de que aparezcan los síntomas o de que
las anormalidades puedan ser detectadas con otros métodos de diagnóstico.
- Debido a que pueden detectar con cierta precisión si una lesión es benigna
o maligna, las exploraciones por PET (Tomografia por Emision de Positrones) pueden eliminar la necesidad de una
biopsia quirúrgica, o pueden identificar el mejor sitio para una biopsia.
- Las exploraciones por PET podrían proveer información adicional que se
utiliza para el planeamiento de la radioterapia.
|
Por muchas décadas los médicos al atender en la consulta sólo tenían como único y gran recurso sus conocimientos y experiencia en el manejo de sus pacientes, para brindar un buen diagnóstico y un tratamiento adecuado, pero esto fue cambiando paulatinamente ante el desarrollo de la tecnología en medicina y la aparición de diversos métodos, tales como (Ecografia, Tomografia, Resonanacia, Gammagrafia, Caterismo, etc.) que se han denominado como “Ayuda Diagnóstica” que hoy en día permiten confirmar o descartar las primeras impresiones diagnósticas.
Debemos tener muy en claro, que la Ayuda Diagnóstica de ninguna manera va a reemplazar el criterio clínico del médico, que se sustenta en un buen interrogatorio sobre los signos y síntomas del paciente, los que son corroborados por un detallado examen físico; y como producto de estos procesos el médico identifica qué métodos de Ayuda Diagnóstica van a ayudarlo a confirmar o descartar los primeros diagnósticos e iniciar el tratamiento que necesita el paciente.
ENLACES:



























No hay comentarios:
Publicar un comentario